
Otrolig. En revolutionerande lösning som stoppar tandköttsförlust inom den första veckan av användning.
Otrolig. En revolutionerande lösning som stoppar tandköttsförlust inom den första veckan av användning.
5 Reasons Why Vibro Technology Is Proven To Transform Your Body!
SAMMANFATTNING: Experter uppskattar att en av två personer världen över lider av tandköttsförlust... Denna geniala uppfinning kan vara ett naturligt sätt att behandla och stärka tandkött nästan omedelbart, stoppa tandköttsförlust, förebygga tandförlust och andra allvarliga tandproblem... Beställ Teeth Repair Gel med 50% rabatt och fri frakt så länge lagret räcker...
Om du någonsin har märkt att dina tänder ser längre ut än tidigare eller att du plötsligt är känslig för varmt och kallt, vet du hur svårt det är att göra... ja, nästan vad som helst.
Du har konstant smärta från exponerade tandrötter, du kan inte njuta av din mat, du vägrar äta dina favoritmaträtter eftersom de bara förvärrar tillståndet i ditt tandkött... Det här är bokstavligen några av de värsta känslorna i världen.
Det finns inget "normalt"
Det finns inget "normalt"
När ditt tandkött drar sig tillbaka och blottar känsliga tandrötter, får dina tänder att se längre ut än tidigare, och även vanliga aktiviteter kan bli tröttsamma eller till och med outhärdliga på grund av det konstanta obehaget från tillbakadraget tandkött.
Har du någonsin märkt att ditt tandkött drar sig tillbaka från dina tänder? Har du någonsin känt en irriterande smärta när du dricker varmt kaffe eller kalla drycker eftersom dina tandrötter är exponerade? Har du märkt att dina tänder ser längre ut än tidigare eftersom ditt tandkött drar sig tillbaka?
Vad sägs om dina tandrötter? Kan du inte äta eller dricka något kallt eftersom dina exponerade tandrötter omedelbart träffas av en skarp smärta? Känner du dig generad över ditt leende eftersom tillbakadraget tandkött har förändrat utseendet på dina tänder?
Om du svarade "ja" på någon av dessa frågor lider du av tillbakadraget tandkött, även känt som tandköttsförlust, ett vanligt oralt problem som kännetecknas av den gradvisa förlusten av tandköttsvävnad, vilket lämnar tandrötterna exponerade.
Tandköttsförlust uppstår när tandköttsvävnaden drar sig tillbaka eller slits bort från tänderna, vilket blottar de känsliga tandrötterna. Detta tillstånd är mer än bara ett kosmetiskt problem; det gör tänderna sårbara för karies, infektioner och till och med tandförlust om det inte behandlas. När tandköttet drar sig tillbaka bildas "fickor" eller mellanrum vid tandköttslinjen där bakterier samlas, vilket gör att recessionen förvärras över tid.
Hur hjälper TeethRepair™ Gel vid tandköttsförlust?
Så verkar TeethRepair™ Gel:
TeethRepair™ Gel täcker det tillbakadragna tandköttet och de exponerade tandrötterna med ett tunt skyddande lager vars aktiva partiklar tränger direkt in i de djupa lagren av det tillbakadragna tandköttet, och förser cellerna med näring samt levererar de "byggstenar" som behövs för tillväxt och reparation av frisk tandköttsvävnad i de områden där tandköttet har dragit sig tillbaka.
De aktiva ingredienserna i gelen ersätter de skadade cellerna i tandköttsvävnaden med liknande "byggstenar" och sätter igång regenereringen av ny, frisk vävnad som täcker de exponerade tandrötterna som orsakar känslighet och smärta.
Detta gör att du snabbt och effektivt kan stoppa tandköttsförlust vid alla stadier, återställa hälsan på det tillbakadragna tandköttet, stärka tändernas fäste på tandköttet, minska känsligheten orsakad av exponerade tandrötter och förhindra ytterligare tandköttsförlust som leder till tandförlust.
Dock ligger den verkliga kraften i TeethRepair™ Gel i dess regelbundna användning.
Till skillnad från läkemedel som din kropp kan bli beroende av, är TeethRepair™ Gel 100% naturlig och hjälper dig att bygga upp tillbakadraget tandköttsvävnad över tid, skydda de exponerade tandrötterna och återställa din tandköttslinje till en hälsosammare position!
Vad gör TeethRepair™ Gel så speciell för att behandla tandköttsförlust?
TeethRepair™ Gel är ett naturligt alternativ till dyra tandvårdsbehandlingar för tandköttsförlust (som tandköttstransplantationer och fickminskningskirurgi) samt receptbelagda produkter, eftersom det snabbt och smärtfritt återställer och stärker ditt tillbakadragna tandkött, täcker exponerade tandrötter och eliminerar känslighet!
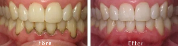
TeethRepair™ Gel har vunnit flera internationella utmärkelser och erkänns av tandläkare som en effektiv behandling som hjälper till att stoppa och återställa tandköttsförlust, stärka tandköttsstödet och skydda exponerade tandrötter, med synliga förbättringar i ditt tandkött efter bara en veckas användning!
Vår 5-stjärniga formula innehåller kraftfulla ingredienser som är specifikt utvecklade för att bekämpa tandköttsförlust, tränger direkt in i de djupa lagren av tandköttsvävnaden, näring för cellerna och ger de byggstenar som krävs för tandköttets regenerering.
Efter den första veckan med TeethRepair™ Gel på dina tillbakadragna tandkött, kommer du att förstå varför våra kunder med tandköttsförlust beskriver det som "livsförändrande."
✅ Känn den omedelbara effekten på tillbakadragna tandkött – Efter bara 5-10 minuter kommer du att känna betydande lindring från känsligheten orsakad av exponerade tandrötter. Efter bara några dagar kommer du att märka att ditt tillbakadragna tandkött börjar läka och fästa sig vid tänderna igen. Med regelbunden användning kommer du att se din tandköttslinje gradvis återvända till en hälsosammare position och skydda dina tänder från farorna med tandköttsförlust.
✅ 100% läkemedelsfritt, säkert och effektivt för tandköttsförlust – Nu kan du regenerera tillbakadragen tandköttsvävnad utan dyra tandköttstransplantationer, smärtsamma återhämtningsperioder och stora tandläkarkostnader. Vetenskapen bakom tandköttsförlust stöds av 100 studier, vilket säkerställer att TeethRepair™ Gel är mycket effektivt specifikt för tandköttsförlust.
✅ Rekommenderas för alla orsaker till tandköttsförlust – Testat, rekommenderat och använt av hundratals tandläkare som är specialiserade på tandköttsförlust, oavsett om det orsakas av aggressiv tandborstning, tandköttssjukdom, genetisk benägenhet, hormonella förändringar, tandgnissling eller snedställda tänder. TeethRepair™ Gel fungerar för alla typer av tandköttsförlust.
✅ Ingen recept krävs för behandling av tandköttsförlust – TeethRepair™ Gel innehåller endast naturliga och helt säkra ingredienser som är specifikt utvalda för att bekämpa tandköttsförlust. Eftersom det är 100% läkemedelsfritt kan du beställa det idag utan recept och börja växa tillbaka ditt tandkött omedelbart.
✅ 90 dagars nöjdhets- och pengarna-tillbaka-garanti – Om dina tillbakadragna tandkött inte förbättras med TeethRepair™ Gel av någon anledning, kan du enkelt returnera det utan några problem!
Slutsats: Bör du köpa Teeth Repair Gel för vikande tandkött?
Övergripande betyg
4.9/5

Stoppar och motverkar vikande tandkött
99%
Lindring av känslighet orsakad av exponerade tandrötter
99%
Regenerering av vikande tandköttsvävnad
99%
Förebyggande av ytterligare tandköttsrecession
99%
Absolut 100 procent!
Teeth Repair Gel rekommenderas specifikt av tandläkare för att återställa vikande tandkött, återuppbygga tandköttsvävnad och skydda exponerade tandrötter orsakade av tandköttsrecession, oavsett orsaken till tandköttsrecessionen.
Teeth Repair Gel används också av professionella skådespelare, sångare och andra kändisar somvill förebygga och behandlatandköttsrecession utan dyra kirurgiska ingrepp
Och nu kan även du använda denna otroliga teknik för att regenerera ditt vikande tandkött och återställa din tandköttskant hemma!
Övergripande betyg
4.9/5

ikande tandkött
99%
Lindring av känslighet från tandrötter
99%
Regenerering av tandkött
99%
Förebygger tandköttsförlust
99%
Absolut 100 procent!
TeethRepair™ Gel rekommenderas specifikt av tandläkare för att återställa tillbakadragna tandkött, bygga upp tandköttsvävnad och skydda exponerade tandrötter orsakat av tandköttsförlust, oavsett orsaken till tandköttsförlusten.
TeethRepair™ Gel används också av professionella skådespelare, sångare och andra kändisar som vill förebygga och behandla tandköttsförlust utan dyra kirurgiska ingrepp.
Och nu kan även du använda denna otroliga teknik för att regenerera din tillbakadragna tandköttsvävnad och återställa din tandköttslinje hemma!
Hur får jag tag på
tandreparationsgel?
Du behöver inte leva med tillbakadragna tandkött och exponerade tandrötter och spendera tusentals på tandläkarbesök för tandköttstransplantationer. Är du redo att återställa dina tillbakadragna tandkött och slutligen återställa din tandköttslinje till en hälsosam position?
Nu när du känner till denna geniala lösning specifikt för att behandla tandköttsförlust, här är de enkla stegen för att få din produkt:
Steg 1: Vi rekommenderar att du beställer en original TeethRepair™ Gel-produkt från den officiella webbplatsen genom att klicka här.
Steg 2: Applicera den dagligen på dina tillbakadragna tandkött och glöm känslan av tillbakadragna tandkött, exponerade tandrötter och känsliga tänder!

Anneli J., 62 Verifierad recension
⭐️⭐️⭐️⭐️⭐️: Betyg
Efter år av att försöka hantera mitt blodsocker med mediciner och strikta dieter, har detta enkla armband jag bär äntligen gett mig stabilitet – utan biverkningar. Mitt blodsocker är äntligen balanserat, och jag känner mig lugnare och klarare varje dag.

Rekommenderad

Betyg: 4,8 på Trustpilot
TeethRepair™

Stoppar och återställer tandköttsförlust

Lindring från känslig tandrot

Regenerering av tandköttsvävnad

Förebyggande av ytterligare tandköttsförlust

Kommentarer på Facebook
Kommentarer

Elsa Karlsson
Jag har kämpat med tandköttsretraktion i månader och letat efter en naturlig lösning. Denna gel gjorde underverk på bara en vecka! Mitt tandkött känns friskare och känsligheten har minskat avsevärt.
Linnea Eriksson
Jag var orolig för mitt vikande tandkött, men efter att ha använt den här gelen i några veckor märker jag en stor förbättring. Mitt tandköttsfästet har börjat regenerera sig och jag kan äta mina favoritmaträtter igen utan smärta!

Sofia Jansson
Den här gelen är så enkel att applicera, och den fungerar verkligen! Jag märkte skillnad på bara några dagar. Det är fantastiskt att ha en lösning som inte involverar dyra behandlingar eller kirurgi.

Agnes Larsson
Jag har haft smärtsam känslighet på grund av mina exponerade tandrötter i flera år, men sedan jag började använda den här gelen är smärtan nästan borta. Den har förändrat allt för mig, och jag är så tacksam för den här produkten.

Ida Nilsson
Om du har vikande tandkött är den här gelen ett måste att prova. Den är naturlig, effektiv och hjälper verkligen till att återställa tandköttskanten. Jag har sett synliga förbättringar och jag är mycket nöjd med resultaten.

Upphovsrätt © 2025 – Alla rättigheter förbehållna – Frakt och returer – Integritetspolicy – Användarvillkor
support@glosara.com
FÅ OPP TIL 50 % RABATT I DAG
FÅ UPP TILL 50 % RABATT I DAG



